- Йога начинающим видео
- Хулахуп танец видео
- Смотреть моя тренировка видео
- Видео тренировки александра емельяненко
- Как правильно крутить обруч на бедрах видео
- Тренировки в кудо видео
- Тренировки рой джонса видео
- Йога онлайн смотреть видео
- Тренировки костя дзю видео
- Видео тренировки роя джонса
- Видео спинальной
- Айенгар йога видео
- Йога для женщин на видео
- Правильно крутить обруч видео
- Плиометрические отжимания видео
- Новости
Управление Здравоохранения Евпаторийского городского совета (С)2011
67 гостей
Кіста прозорої перегородки головного мозку і її небезпеку
- Механіка розвитку патології
- Як проявляється кіста прозорою перегородки головного мозку?
- Діагностика, попередня лікуванню
- Як відбувається лікування?
Головний мозок в людському організмі є головним керівним центром. Медики і мікробіологи постійно проводять дослідження щодо роботи цього центру, щоб зрозуміти, як з'являються захворювання в головному мозку і знайти способи уникнути їх. Незважаючи на спроби протистояти патології все ж захворювання в головному мозку реєструються. Одним з найбільш поширених недуг кори можна назвати таку патологію, як кіста прозорою перегородки головного мозку.

Механіка розвитку патології
Доброякісна кіста порожнини прозорої перегородки головного мозку є досить поширеним недугою, який сьогодні можна виявити за допомогою МРТ або томографії. Серед пацієнтів з доброякісними захворюваннями головного мозку, пухлина прозорою перегородки діагностують більш ніж у 20% людей.
Особливості формування даного типу захворювання пов'язані з характерними рисами будови людського мозку. Справа в тому, що головний мозок захищається від зовнішніх механічних пошкоджень за допомогою трьох основних перегородок: твердої, м'якої і павутинної. Між цими перегородками знаходиться спеціальна рідина, яка охороняє тіло мозку від дотиків до черепа і контролює тиск в тканинах кори.
Всі перегородки, які захищають головний мозок від зовнішніх пошкоджень, є своєрідними пластинами, які розташовані між мозковим речовиною і мозолясті тілом.

Що таке кіста прозорою перегородки головного мозку? Виявляються засобами визуализированного контролю симптоми кісти прозорої перегородки головного мозку вказують на те, що пухлина є капсулою з рідиною, що сформувалася під впливом аномального тиску на будь-яку область мозку. Відповідно, розташовується кіста прозорою перегородки головного мозку між пластинами перегородок.
Не можна не відзначити той факт, що багато захворювань такого типу з'являються в організмі людини в процесі його ембріонального розвитку. Точну причину вроджених кіст прозорою перегородки у дитини встановити не вдалося. Деякі пухлини можуть бути придбаними, що виростають після:
- перенесеного важкого недугу;
- запалення тканин головного мозку;
- інсульту або серцевого нападу;
- паразитарного захворювання або сильного механічного пошкодження кори головного мозку при падіннях або травмах.
Пухлина лікворна кіста прозорою перегородки головного мозку формується, як правило, в таких частинах головного мозку, які не впливають на загальний стан пацієнта і роботу його внутрішніх органів і систем. Однак, незважаючи на первинну безпеку кісти порожнини прозорої перегородки, звертатися за кваліфікованою допомогою для обстеження при тривожних симптомах кісти в мозку все ж необхідно. Це важливо, тому що дозволить усунути ймовірність розвитку патологій і ускладнень.

Як проявляється кіста прозорою перегородки головного мозку?
За результатами багаторічних досліджень ознак кісти прозорої перегородки головного мозку можна сказати, що така пухлина не є патогенної або небезпечної для організму. Крім того, пов'язано її поява, скоріше, з анатомічними деформаціями і змінами, ніж з патогенними і серйозними захворюваннями. У більшості зареєстрованих випадків кіста прозорою перегородки головного мозку 4 мм або кіста лобової долі не вважається небезпечною для здоров'я пацієнта.
З огляду на безпеку і не патогенність такого доброякісного утворення, розміри кісти прозорої перегородки головного мозку практично не виявляють жодних симптомів, і лікування кісти прозорої перегородки головного мозку, як таке, не потрібно.
Однак безсимптомно протікає тільки така недуга, який з'явився в результаті вроджених деформацій і патологій. Якщо ж пухлина сформувалася через механічного порушення цілісності тканин перегородки, то у пацієнта можуть діагностувати такі симптоми і стану:
ВАЖЛИВО ЗНАТИ!
- регулярні аномальні головні болі, які посилюються при стрибках або швидкому бігу;
- постійна присутність шуму або дзвону у вухах, який не проходить в нічний час доби;
- через пухлину в перегородці у пацієнта може пошкодитися слух, порушитися робота вушної раковини;
- в області проблемного розташування кісти пацієнт може в деяких випадках відчувати відчуття здавленості і тупий біль при натисканні;
- через паразитарного зараження або запалення пухлини пацієнт відчуває постійні напади нудоти або блювоти, складності при засипанні і координації в просторі.
Варто сказати про те, що незважаючи на безпеку і нешкідливість більшості доброякісних пухлин описуваного типу, така недуга не проходить самостійно і може розвиватися протягом багатьох років. Зростаюча пухлина може притискати здорові ділянки головного мозку, заважати роботі багатьох центрів, призводити до появи ускладнень і важких наслідків недуги.
Для постійного контролю і регулювання зростання пухлини пацієнт зобов'язаний проходити регулярні медичні обстеження. При необхідності - за приписом лікаря - проводиться початкове лікування кісти прозорої перегородки головного мозку народними або консервативними засобами.

Діагностика, попередня лікуванню
Видів пухлин існує велика кількість. З огляду на той факт, що тканини мозку не вивчені досконально, а доброякісні утворення залежать від індивідуальних особливостей організму пацієнта, часом навіть найдосвідченіший лікар не завжди після першого огляду може сказати про патогенності і небезпеки кісти прозорої перегородки мозку.
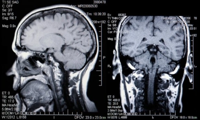
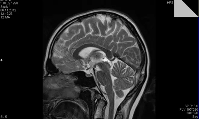
Визначити наявність і розміри пухлини в корі головного мозку допомагає магнітно-резонансна або комп'ютерна томографія. Такі процедури зазвичай є страхітливими для людини, проте вони не тільки нешкідливі, але і мають вирішальне значення в діагностиці кіст головного мозку . Томографія дозволяє швидко і точно виявити місце прикріплення кісти прозорого відділу головного мозку, її розміри, патогенність і масштаби впливу. Також за результатами дослідження стає ясно, чи небезпечна кіста і наскільки сильною може бути її вплив на організм.
Показанням для проведення томографії є будь-які потенційні симптоми пухлин в головному мозку . У профілактичних цілях робити томограму голови рекомендується щороку.

Як відбувається лікування?
Якщо пухлина збільшилась досить сильно і почала свій вплив на здорові ділянки головного мозку, її потрібно терміново лікувати. Спочатку процес лікування починається з діагностики МРТ головного мозку кісти прозорої перегородки і вивчення першопричин формування освіти.
Крім визначення точного місця розташування кісти прозорої перегородки МРТ дозволяє уточнити розміри пухлини, характер її впливу на сусідні тканини і приблизну швидкість росту. Додатково в рамках діагностики проводиться комплексне обстеження організму. У пацієнта беруться аналізи, вимірюється артеріальний тиск, проводяться дослідження на генетичні відхилення або хронічні захворювання, здатні надавати прямий або опосередкований вплив на швидкість росту і патогенність кісти.
Діагностика кісти прозорої перегородки в мозку включає обов'язкове вивчення історії хвороби пацієнта. Важливим етапом лікування є виявлення в організмі шкідливих бактерій і заражень крові, які можуть надавати бактеріальне або інфекційне вплив на ріст і розвиток максимальних розмірів кісти прозорої перегородки головного мозку.
Важливо пам'ятати, що вивчення темпів розвитку кісти прозорої перегородки також в обов'язковому порядку включає в себе аналітику побічних і супутніх хронічних або вроджених недуг, які можуть заважати якісному лікуванню доброякісного освіти і видалення кісти прозорої перегородки.
Процес лікування також є комплексним і включає використання як консервативних, так і радикальних способів видалення пухлини в крайніх випадках.
Чи варто нагадувати, що займатися самодіагностикою в разі настільки серйозних патологій, не можна. Самостійне діагностування доброякісної кісти є небезпечним для організму і не дивлячись на те, що така пухлина в більшості випадків не приносить шкоди, може привести до появи найнеприємніших наслідків кісти прозорої перегородки головного мозку.
Наявність великої кількості характерних особливостей і невивчених досконально деталей розвитку кіст в головному мозку є вагомим аргументом проти самостійної діагностики і лікування. Причому, небезпека самолікування таких патологій присутній в будь-якому віці і з будь-якими первинними симптомами. Тільки кваліфікований фахівець може призначити ефективний курс лікування. Основою курсу при цьому будуть найповніші і достовірні дані отриманих результатів обстеження.
РАДИМО ПОДИВИТИСЯ:
Запишіться на прийом:
Що таке кіста прозорою перегородки головного мозку?Як проявляється кіста прозорою перегородки головного мозку?
Як відбувається лікування?