- Йога начинающим видео
- Хулахуп танец видео
- Смотреть моя тренировка видео
- Видео тренировки александра емельяненко
- Как правильно крутить обруч на бедрах видео
- Тренировки в кудо видео
- Тренировки рой джонса видео
- Йога онлайн смотреть видео
- Тренировки костя дзю видео
- Видео тренировки роя джонса
- Видео спинальной
- Айенгар йога видео
- Йога для женщин на видео
- Правильно крутить обруч видео
- Плиометрические отжимания видео
- Новости
Управление Здравоохранения Евпаторийского городского совета (С)2011
67 гостей
Магнітно резонансна ангіографія судин головного мозку
- У чому перевага даного методу діагностики?
- В яких випадках може бути призначено проходження ангіографії?
- Принцип дії і суть методу МРТ ангіографії
- Ангіографія судин головного мозку - об'ємне зображення
- Що можна виявити по знімку?
- Особливості проведення діагностики та запобіжні заходи
- Як проходить сама процедура МРТ ангіографії?
Найчастіше загальна слабкість організму і прогресивне погіршення самопочуття стають наслідком систематичних збоїв і порушень в системі кровоподачі до головного мозку. Якщо необхідний обсяг кисню і життєво важливих речовин перестає надходити, головний «комп'ютер» людського тіла виявляється не в змозі повноцінно виконувати свої функції.
Регулярні обстеження судинної системи, через яку здійснюється харчування головного мозку, допоможе своєчасно розпізнати патологічні зміни і прийняти рішучі дії.
У чому перевага даного методу діагностики?
МРТ ангіографія судин головного мозку та шиї вважається переважним методом діагностики завдяки високій інформативності та надійності отриманих результатів. З його допомогою можна виявити будь-які відхилення в артеріальній сітці без проведення пункції.
Магнітно-резонансна томографія проводиться в так званому ангіорежимі. Його перевагами в порівнянні з іншими способами дослідження є отримання якісного зображення судин.
Поглиблене вивчення їх структурних і функціональних особливостей допомагає фахівцям об'єктивно оцінити повноцінність мозкового кровопостачання. 
Крім того, безумовною перевагою МРТ сканування можна також вважати повну відсутність опромінення. Іонізуюче випромінювання, яке у роботі, наприклад, рентген-апарату, служить перепоною для проведення частих діагностичних процедур, оскільки завдає неймовірної шкоди людському організму. МРТ ангіографію судин головного мозку та шиї можна проводити практично необмежено.
Небезпеки здоров'ю пацієнта цей метод діагностики не несе. До того ж, неінвазивний даної ангіографії дозволяє відмовитися від використання множинних ВНУТРІШНЬОАРТЕРІАЛЬНА катетерів, після яких хворому потрібен якийсь час для реабілітації.
В яких випадках може бути призначено проходження ангіографії?
Основними показаннями до проведення даного типу МРТ сканування є:
- захворювання судин головного мозку (найпоширеніші - геморагічні та ішемічні інсульти);
- травми і удари черепа, шиї;
- ураження слуху, туговухість у пацієнта;
- інтенсивні і тривалі головні болі;
- внутрішньочерепні пухлини, гематоми;
- хвороби інфекційного характеру, що відбиваються на стані ЦНС і головного мозку: менінгіт, сифіліс, ВІЛ, гепапіт і т.д.
- вроджені аномалії будови головного мозку і судин, аневризми і тромбози;
- епілепсія, розсіяний склероз та ін.
Принцип дії і суть методу МРТ ангіографії
Дана методика заснована на різниці сигналів, які передаються від статичних стінок судин і просувається по ним крові. До використання контрастних речовин лікарі вдаються вкрай рідко, оскільки в більшості випадків отримується зображення відрізняється високим дозволом і чіткістю.
Але при необхідності застосування допоміжних препаратів найчастіше використовують медикаменти на основі гадолінію. Цей парамагнетик дозволяє простежити швидкість кровотоку, граничну наповнюваність судин відповідно до артеріальним тиском на даній ділянці.
Ангіографія, проведена для дослідження судин голови, має особливий принципом дії. Його суть полягає в аналогічному будь-якому МРТ-сканування порушення водневих атомів під впливом високих частот електромагнітного поля. Відомо, що молекули води, присутні в клітинах людського організму, вміщають цей хімічний елемент в своєму складі.
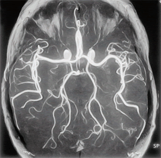
Ангіографія судин головного мозку - об'ємне зображення
Це надає можливість високоякісної візуалізації всіх структур і характеру кровотоку в межах судин головного мозку та шиї. Магнітно-резонансна томографія ангіографічної типу від звичайного МРТ дослідження відрізняється отриманням в кінці процедури тривимірного об'ємного зображення вен і артерій.

Судини головного мозку при МРТ
З його допомогою відкривається можливість діагностування кровопостачання в динаміці, виявлення ледь помітних патологічних процесів на самих ранніх етапах формування. Окремим плюсом МРТ ангіографії судин головного мозку є можливість стеження за особливостями кровотоку пацієнтів, у яких попередньо стався інсульт.
Що можна виявити по знімку?
Таке дослідження судин головного мозку як МРТ ангіографія може виявити величезний спектр патологій в їх будові і роботі. Найчастіше за результатами діагностики лікарі можуть констатувати у пацієнта такі проблеми з кровопостачанням головного мозку:
- Передінсультний стан хворого, його течія в сьогоденні або ступінь наслідків.
- Атеросклеротичні "бляшки" доступні візуально МРТ-апарату навіть в тому випадку, якщо зміни, яких зазнала кровоносна система на даній ділянці, не критичних розмірів або ледь помітні.
- Тромбоз судин шиї та голови.
- Ускладнення, які спричинило за собою струс, забій або відкрите черепно-мозкова пошкодження.
- Гематоми мозку в зображенні 3D.
- Наявність мозкової контузії.
- Новоутворення доброякісної або злоякісної природи.
Магнітно-резонансної способу сканування доступні навіть найменші мальфораціі, поява і розвиток аневризми і стенозів.
Щоб підтвердити або виключити присутність пухлини, розмір якої дозволяє ховатися за великими артеріями, в більшості випадків проводять контрастування. Крім посилення природного капілярного малюнка, контрастна ангіографія зможе виявити і присутність метастаз, точно визначити розміри новоутворення і зробити припущення про гістологічному походження патології.
Особливості проведення діагностики та запобіжні заходи
Техніка проведення магнітно-резонасной томографії, заснованої на принципах ангіографічної вивчення стану судин шиї та голови, зовні нічим не відрізняється від звичайної традиційної процедури МРТ. Перед проходженням дослідження не потрібно ніякої додаткової підготовки.
Однак варто знати про деякі умови процедури, недотримання яких може негативно позначитися на здоров'ї обстежуваного.

Пацієнт повинен повідомити достовірні дані, що стосуються його стану здоров'я.
- Про наявність запальних процесів в організмі або загострення хронічних захворювань лікаря необхідно бути в курсі.
- У разі раніше помічених алергічних реакцій на медикаменти хворому необхідно повідомити про це фахівцеві в обов'язковому порядку для запобігання анафілактичної реакції на контрастну речовину (при ангіографії з контрастом).
- Перший триместр вагітності також є протипоказанням до проведення процедури, тим більше за допомогою контрастної речовини.
Як проходить сама процедура МРТ ангіографії?
Аналогічно зі стандартною процедурою пацієнта укладають на кушетку, заздалегідь попередивши про необхідність зняття ювелірних прикрас, окулярів з металевою оправою і т.д. У горизонтальному положенні в капсулі закритого типу він перебуватиме близько півгодини, тому про наявність будь-яких психоемоційних і нервових розладів він повинен попередити фахівців заздалегідь. Зокрема, для запобігання нападів клаустрофобії нерідко застосовують загальну анестезію для максимального знерухомлення хворого. В іншому випадку достовірними результати навряд чи вдасться назвати.
Магнітно-резонансної ангіографії судин властиво використання додаткового програмного забезпечення. Такі комп'ютерні установки спрямовані лише на з'ясування патологій кровоносних судин шиї і голови. Отримати результати пацієнт зазвичай може через 15 хвилин після сеансу дослідження. З готовими відповідями діагностики у вигляді знімків і виписки фахівця хворий повинен відправитися до лікаря за отриманням подальших рекомендацій і лікувальних приписів.
В яких випадках може бути призначено проходження ангіографії?
У чому перевага даного методу діагностики?
В яких випадках може бути призначено проходження ангіографії?
Що можна виявити по знімку?
Як проходить сама процедура МРТ ангіографії?