- Йога начинающим видео
- Хулахуп танец видео
- Смотреть моя тренировка видео
- Видео тренировки александра емельяненко
- Как правильно крутить обруч на бедрах видео
- Тренировки в кудо видео
- Тренировки рой джонса видео
- Йога онлайн смотреть видео
- Тренировки костя дзю видео
- Видео тренировки роя джонса
- Видео спинальной
- Айенгар йога видео
- Йога для женщин на видео
- Правильно крутить обруч видео
- Плиометрические отжимания видео
- Новости
Управление Здравоохранения Евпаторийского городского совета (С)2011
67 гостей
НЛД - Номер 1-2, 2002 - Оцінка динаміки активності розсіяного склерозу
(Новини променевої діагностики 2002 1-2: 36-37)
Оцінка динаміки активності ремиттирующего і прогресуючого розсіяного склерозу.
Пилипович А. Н.
БелМАПО.
Розсіяний склероз (РС) хронічне захворювання, що вражає осіб молодого, працездатного віку, що має тенденцію до зростання за останні роки [1, 2]. На підставі клінічних відмінностей в якості самостійних варіантів виділяють ремиттирующий розсіяний склероз (РРС), первинно-прогресуючий (ППРС) і вторинно-прогресуючий (ВПРС). ППРС відрізняється важким перебігом з локалізацією вогнищ демієлінізації і дегенеративно-дистрофічних змін в стовбурі, корі головного мозку, спинному мозку з більш швидкою інвалідизацією хворих. При даному типі перебігу РС в центральній нервовій системі переважає дегенеративний процес над запальним, з початку захворювання має місце наростання неврологічних симптомів, переважно спінальних, рідко втягується оптична сфера [3, 4].
Вдруге прогресуючий РС є наступною стадією ремиттирующего РС, відрізняється характерною динамікою клінічних симптомів з поступовим наростанням рухових, координаторних порушень без чітких ремісій [1, 2, 5]. Однак, якщо виділення варіантів перебігу РС за клінічними ознаками з додатковим використанням магнітно-резонансної томографії (МРТ) для об'єктивізації вогнищ демієлінізації є цілком виправданим, то оцінка активності процесу демієлінізації залишається далеко не вирішеною проблемою.
У зв'язку з цим метою даного дослідження є розробка комплексу методів діагностики активності процесів демієлінізації при РРС, ППРС і ВПРС за допомогою оцінки клінічних, МР-томографічних ознак захворювання, а також обліку динаміки міелінотоксіческой активності (МТА) сироватки крові, спинномозковій рідині (СМР).
Під нашим наглядом протягом тривалого періоду часу (понад 5 років) знаходилося 685 хворих РС, з них у віці 16-49 років було 645 (94,2%) хворих. Серед них з РПС - 390 (56,9%), ППРС - 67 (9,8%), ВПРС - 195 (28,5%), доброякісним перебігом РС - 33 (4,8%) хворих.
Оцінка отриманих результатів проводилася з урахуванням особливостей клінічної картини РС, даних МР томографії головного, спинного мозку, а також динаміки МТА сироватки крові та спинномозковій рідині [6].
При аналізі клінічної картини встановлено, що РРС відрізнявся частими ремісіями з відбудовою оптичних, координаторних, рухових порушень.
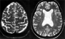
На МР-томограмах головного мозку у 91,8% хворих з РРС в стадії ремісії виявлялися одночасно не тільки осередки зниження інтенсивності сигналу в Т-1W режимі, але і осередки підвищення інтенсивності сигналу в Т-2W режимі, які зберігалися роками (Рис. 1а ). При загостренні РС мало місце певне збільшення вогнищ зниження інтенсивності сигналу в Т-1W режимі з формуванням зон перифокального набряку навколо них (Рис. 1б). Однак на підставі цих даних важко було судити про рівень активності демієлінізуючих процесу.

[Збільшити]
Мал. 1а, б. Вогнища демієлінізації в півкулях (а, зліва) і стовбурі (б, справа) головного мозку з підвищенням і зниженням інтенсивності сигналу при РРС.
З урахуванням особливостей клінічної картини при загостренні РРС мало місце у всіх хворих збільшення МТА сироватки крові, яке при динамічному спостереженні протягом 4-5 місяців коливалася від 22,1 ± 0,62 до 32,5 ± 0,94 ум.од. (Р
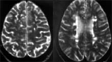
ВПРС у 195 (28,5%) хворих був наступним стадією РРС, відрізнявся характерною динамікою клінічних симптомів: поступовим наростанням рухових, координаторних порушень без чітких ремісій. На МР-томограмах головного мозку явно переважали осередки підвищення інтенсивності сигналу в Т- 2W режимі, вони поєднувалися з одиничними вогнищами зниження інтенсивності сигналу в Т-1W режимі. Виявлявся також великий атрофічний процес з розширенням шлуночкової системи мозку, субарахноїдальних просторів, особливо в проекції тім'яних, в меншій мірі скроневих, лобових часток (Рис. 2а, б).

[Збільшити]
Мал. 2а, б. Великий атрофічний процес з розширенням шлуночкової системи, субарахноїдальних просторів з вогнищами демієлінізації при ВПРС, (а, зліва) - півкулі, (б, справа) - стовбур головного мозку.
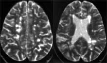
Первинно-прогресуючий РС мав місце у 67 (9,8%) хворих. Він виявлявся відносно рідко і пізно діагностували. Клінічні прояви ППРС характеризувалися одиничними моносимптомами на початку захворювання з подальшим прогредієнтним перебігом, розвитком грубих пірамідних, мозочкових симптомів, зниженням інтелекту у хворих. Діагностика ППРС на ранніх стадіях захворювання була дуже ускладнена, найчастіше проводилось вилучення запальних, дегенеративних захворювань головного і спинного мозку. На МР-томограмах виявлялися поодинокі великі вогнища демієлінізації з вираженим атрофічним процесом в головному мозку: розширенням шлуночкової системи, борозен, витончення звивин (Рис. 3а, б). Дослідження МТА сироватки крові та спинномозковій рідині в динаміці дозволило об'єктивізувати активність демієлінізуючого процесу. При цьому мало місце помірне підвищення МТА сироватки крові, яке коливалося протягом 1-2 і більше років у межах від 19,2 ± 0,72 до 26,4 ± 0,86 ум.од., а СМЖ - від 23,9 ± 1,2 до 29,8 ± 1,4 ум.од., що свідчило про повільне прогредиентном перебігу процесу.

[Збільшити]
Мал. 3а, б. Великий атрофічний процес з великими вогнищами демієлінізації при ППРС, (а, зліва) - півкулі, (б, справа) - стовбур головного мозку.
На підставі проведених досліджень можна зробити наступні висновки:
1. Об'єктивна діагностика активності ремиттирующего і прогресуючого розсіяного склерозу можлива на підставі комплексу клінічних, МР-томографічних даних і обліку динаміки міелінотоксіческой активності сироватки, спинномозкової рідини.
2. МРТ головного мозку дозволяє з високою достовірністю об'єктивізувати наявність вогнищ демієлінізації, проте за даними МРТ важко судити про активність демієлінізуючого процесу.
3. Визначення міелінотоксіческой активності сироватки крові і спинномозкової рідини в комплексі з клінічною картиною, даними МРТ головного мозку дозволяє в абсолютній більшості випадків не тільки об'єктивізувати наявність вогнищ демієлінізації, а й оцінити активність демієлінізуючого процесу при ремиттирующем і прогресуючому розсіяному склерозі.
Література.
- Гусєв Є. І. Деякі клінічні та медико-соціальні аспекти нових методів патогенетичного лікування розсіяного склерозу // Журн. неврології і психіатрії ім. С. С.Корсакова. - 2001. - Т. 101. - № 2. - С. 7-12.
- Завалишин І.А. Патогенез і лікування розсіяного склерозу // Укр. Ріс. АМН. - 2001. - № 7 - С. 18-22.
- Кортенкова М. Н. Магнітно-резонансна терапія при розсіяному склерозі // Мед. візуалізація. - 2001. - №. 1 - С. 62-66.
- Шмідт Т. Є. Терапія розсіяного склерозу // Неврологіч. Журн. - 2001. - № 2. - С. 47-57.
- Євтушенко С.К. Магнітно-резонансна терапія в діагностиці розсіяного склерозу // Журн. неврології і психіатрії ім. С.С. Корсакова. - 2001. - Т. 101. - № 4. - С. 61-64.
- Пилипович Н. Ф., Лучко В. П., Пилипович А. Н., Лапута К. Н. Спосіб лікування розсіяного склерозу // Патент № 3882 від 23. 03. 1998 р