- Йога начинающим видео
- Хулахуп танец видео
- Смотреть моя тренировка видео
- Видео тренировки александра емельяненко
- Как правильно крутить обруч на бедрах видео
- Тренировки в кудо видео
- Тренировки рой джонса видео
- Йога онлайн смотреть видео
- Тренировки костя дзю видео
- Видео тренировки роя джонса
- Видео спинальной
- Айенгар йога видео
- Йога для женщин на видео
- Правильно крутить обруч видео
- Плиометрические отжимания видео
- Новости
Управление Здравоохранения Евпаторийского городского совета (С)2011
67 гостей
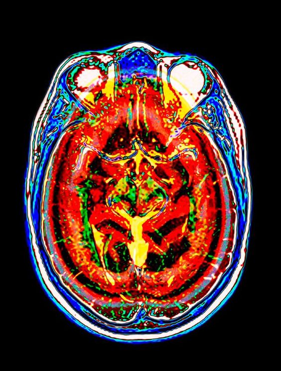
Підготовка до МРТ мозку
- Як правильно підготуватися до МРТ головного мозку
- Кому протипоказана МР-томографія мозку з контрастом
- Як роблять магнітно-резонансну томографію голови з контрастом
- Що можна їсти і пити перед МРТ
- Що можна їсти перед МРТ головного мозку
- Чи можна пити алкоголь перед МРТ
Підготовка перед магнітно-резонансною томографією не представляє складнощів. Початкова стадія нативного сканування не доставляє пацієнтові складнощів. Перед томографією малого таза потрібно пити багато рідини. Обстеження шлунково-кишкового тракту здійснюється після клізми.
МРТ головного мозку без контрасту вимагає лише психологічної налаштованості. Під час процедури потрібно лежати нерухомо. Збереження спокійного положення важко для пацієнтів з неврологічними, психічними захворюваннями, м'язовими посмикуваннями. Усувається стан прийомом седативних препаратів. Маленьким дітям сканування здійснюється після наркозу. відкритий МРТ апарат краще підходить для сканування немовлят, новонароджених. Пристрій має сводобний край, де може перебувати дорослий.
Після отримання призначення на дослідження, потрібно відвідати лікаря променевої діагностики. Спеціаліст проаналізує амбулаторну картку, результати попередніх способів дослідження, виявить показання та протипоказання, вкаже, що пацієнтові можна вживати, від чого відмовитися.
Магнітно-резонансна томографія - це безпечна процедура, тому що не супроводжується радіаційним опроміненням (в порівнянні з КТ). Для виключення теоретичних негативних ефектів МР-томографія не проводиться в першому триместрі вагітності. Підвищує ризик ускладнень процедура з контрастуванням. Поліпшення візуалізації структур голови досягається введенням металу-парамагнетика гадолінію.
Як правильно підготуватися до МРТ головного мозку
Підготовчий етап ретельно планується заздалегідь. Лікар-радіолог - за ним залишається заключне рішення про можливість, методі, тактиці МР-томографії. Підготовка не потрібно при виконанні МР-сканування:
- Хребетного стовпа;
- голови;
- суглобів;
- Груди.
Для полегшення стану пацієнта лікарі іноді рекомендують випити стакан води за 3 години до процедури. Легкий сніданок запобігає дискомфорт через голодного шлунка. Планування контрастною томографії виключає прийом їжі за 4 години. Гадолиний рідко провокує реакції гіперчутливості (алергія, свербіж шкіри, дерматит, висипання). Мінімізуються ускладнення виконанням рекомендацією лікаря.
Пацієнт повинен обов'язково попередити медиків про наявність алергічних захворювань - астматичний бронхіт, бронхіальна астма. Навіть невелика доза сполуки при підвищеній чутливості способу спровокувати небезпечні для життя ускладнення, тому перед ін'єкцією препарату виконується провокаційна проба. Вводиться невелика доза контрасту, а потім відстежується стан людини. Сканування триває за відсутності свербежу, висипу, почервоніння, об'єктивних змін здоров'я.
Виникнення будь-якого ускладнення вимагає негайної зупинки маніпуляції. У процедурній є аптечка для надання екстреної медичної допомоги. Фахівці негайно вводять необхідні лікарські препарати. Деякий час чоловік знаходиться під медичним наглядом для надання екстреної допомоги при виникненні жизнеугрожающих ускладнень. виняток помилок МРТ головного мозку досягається правильною підготовкою до обстеження.
Виведення парамагнетиков здійснюється через нирки. Ниркова недостатність - протипоказання до контрастної процедури. Визначається можливість МР-сканування у пацієнтів з недостатністю органу після оцінки концентрації креатиніну крові і сечі. Правильно підготуватися можна тільки після оцінки результатів аналізів.
Велика частина речовини виводиться через сечовий тракт. Збільшення вмісту препарату в крові свідчить про ниркову недостатність. Патологія виключає можливість контрастною томографії. Біохімічний аналіз крові, загальний аналіз сечі - обов'язкові методи діагностики, які призначаються перед магнітно-резонансним скануванням головного мозку, інших органів.
На попередньому етапі аналізуються результати загального аналізу сечі, крові, біохімічні показники. Показники контролюються для своєчасного виявлення ниркової або печінкової недостатності. Патологія уповільнює виведення гадолінію, інших контрастних сполук. Не можна проводити МР-томографію пацієнтам з патологією нирок, печінки, так як висока ймовірність отруєння.
Кому протипоказана МР-томографія мозку з контрастом
МР-томографію робити вагітним у першому триместрі. Практичні спостереження радіологів не показують наявність ускладнень у плода після процедури. Клінічні дослідження також виключають негативні ефекти магнітного поля на людський ембріон. Медицина - наука доказова. Підтвердження відсутності змін генетичного фону під впливом магнетізаціі відсутні. Не можна виключити зміну генів під впливом магнітного поля. Вплив ядерного резонансу на людський організм вимагає подальшого вивчення. Майбутнім матерям рекомендується відмовлятися від дослідження при відсутності серйозних показань.
Людям з фобіями замкнутих приміщень потрібно попередньо повідомити фахівця про страхи. Апарати мають замкнутий контур, який доставляє дискомфорт людям. При клаустрофобії обстеження виконується на установках відкритого типу, що мають вільні боку.
Дозволи установок досить для вирішення діагностичних питань. У наукових цілях використовуються апарати закриті високопольні моделі, здатні виявляти патологічні зміни розмірами кілька десятих міліметра.
Пацієнтам з психічними розладами призначаються транквілізатори. Препарати знімають збудження, неврологічні хвороби.
Обов'язковою умовою проведення магнітно-резонансної томографії є зняття металевих предметів:
- шпильок;
- нейростимуляторів;
- шпильок;
- Кардіостимулятори (при можливості);
- Судинні кліпси;
- Зубні протези;
- Вушних установок;
- Серцеві клапани;
- Ювелірних прикрас;
- Годин.
Банківські картки, годинник, мобільний телефон слід залишити за дверима процедурної кімнати. Металеві об'єкти усуваються на етапі підготовки до МРТ головного мозку.
Перед скануванням радіолог обов'язково уточнить відсутність в тілі пацієнта, який готується до томографії голови, металевих об'єктів. за стандартами краще робити МРТ голови дітям під наркозом, щоб виключити рухливість дитини.
Для виключення сторонніх тіл в організмі пацієнта на етапі підготовки виконується рентгенографія. Рентгенодіагностика необхідна для виключення фрагментів металу, залишків кулі після вогнепальних ран.
Напрямок дільничного терапевта, лікаря - обов'язкова умова виконання обстеження. Спеціаліст на попередній стадії не завжди правильно визначить показання і протипоказання. Заключне рішення завжди залишається за лікарем променевої діагностики, що вказує, як правильно підготуватися до обстеження.
Виняток рухливості голови досягається попередньою фіксацією. Верхня частина тулуба піднімається в залежності від площини томографії. Тривалість маніпуляції - близько 40 хвилин. Залежно від цілей томографії встановлюється правильне положення голови. При необхідності під час томографії виконується поворот тулуба. Сканування виконується послідовно через кілька міліметрів (в залежності від можливостей обладнання).
Як роблять магнітно-резонансну томографію голови з контрастом
Посилення видимості судин мозку досягається внутрішньовенною ін'єкцією гадолінію. Препарат робить артерії чутливими до магнітного поля. Парамагнетик є гіпоалергенним з'єднанням. Гіперчутливість на нього розвивається досить рідко. Перед контрастуванням слід виключити вагітність жінки.
Сучасне обладнання оснащене дозаторами. Пристрої автоматично послідовно подають препарати солей гадолінію. У міру поширення речовини по судинах роблять томографію. Больові відчуття відсутні. Єдиною неприємністю є металевий присмак у роті.
Додаткове обстеження - спектроскопія, що дозволяє оцінити біохімічні реакції мозкової тканини. Підготовчий етап складніший. Діти повинні зберігати нерухомість близько 40 хвилин. Грудничкам, новонародженим сканування голови роблять під наркозом. Заспокійливі препарати призначаються школярам.
Дорослі пацієнти відразу після томографії зможуть вести звичайний спосіб життя, правильно харчуватися. Дітям доводиться ретельніше готуватися. За кілька днів до контрастування малюка поміщають в стаціонар разом з мамою.
Що можна їсти і пити перед МРТ
Основні складності підготовки являє сканування сечового міхура. Орган має тонку стінку. Без наповнення стінки злипаються. Чітка візуалізація досяжна наповненням водою. За 4 години до магнітно-резонансної томографії рекомендується випити 2-3 літри рідини.
За кілька годин до сканування кишечника рекомендована очисна клізма. Видалення калових мас, залишків їжі поліпшує видимість стінки шлунково-кишкового тракту.
Що можна їсти перед МРТ головного мозку
За чотири години до магнітно-резонансної томографії голови з контрастом можна їсти такі продукти:
- Чорний хліб та інші хлібобулочні вироби;
- Свіжі овочі;
- Кофеинсодержащие напої.
Будь-які продукти мають перероблятися термічно. Фрукти, овочі, кріп готуватися на пару.
перед МРТ голови можна їсти нежирну рибу, м'ясо, пити кисломолочні напої, вживати тушковані овочі. Щодо прийому ліків попередньо потрібно проконсультуватися з лікарем.
Маленьким дітям дозволено їсти за 5 годин до обстеження. Немовля на штучній їжі повинен бути оптимально підготовлений перед наркозом. Краще відмовитися від введення газообразующих сумішей.
Чи можна пити алкоголь перед МРТ
Фахівці стверджують, що прийом алкоголю і МРТ не сумісні. Зустрічаються випадки, коли магнітно-резонансну томографію потрібно робити після сімейних торжеств. Останній прийом спиртних напоїв обмежується за 48 годин до процедури. Контрастне МРТ судин головного мозку чутливо до алкоголю. Відразу після вживання спиртного артерії розширюються, потім виникає зневоднення. Через кілька хвилин судини звужуються. Порушення кровопостачання призводить спотворення сигналів від атомів водню під впливом сильного магнітного поля.
Відповідь, чи можна пити алкоголь перед МРТ, очевидний. Метаболіти етилового спирту - це сильні нейротоксические отрути. У людини зловживає алкоголем, виникають незворотні зміни мозку. Якщо зробити МРТ голови на наступний день після зловживання спиртними напоями, не можна розраховувати на правильність результатів.
Томографія чітко показує незворотні зміни м'яких тканин. Спотворена картина формується при ураженні білого і сірого речовини, кори, внутрішньомозкових судин, шийних артерій. Алкогольне сп'яніння є протипоказанням до магнітно-резонансного сканування мозку внаслідок неадекватної поведінки людини на столі.
Напередодні процедури потрібно правильно підготуватися. Є й пити дозволено не пізніше, ніж за 2 години до обстеження. Вживати медикаменти можна приймати перед скануванням черевної порожнини.
Фахівці радять багато не переїдати перед МРТ головного мозку. Алкоголь виключається. Інші принципи підготовки порекомендує лікар променевої діагностики.
Безпосередньо після обстеження пацієнт веде звично спосіб життя.
Підготовка до МРТ представляє менше складнощів, ніж попередній етап будь-якої іншої діагностичної маніпуляції. Відсутність радіаційного опромінення робить дослідження популярним серед населення. Приватні клініки пропонують платну послугу.
Ціна магнітно-резонансної томографії голови вище, ніж у комп'ютерного аналога. Вартість визначається витратами на електричну енергію. Для створення сильного магнітного поля потрібно силова лінія. Висока ціна визначається дорогим ремонтом, технічним обслуговуванням.
Обмеження при МРТ голови
Чи можна робити магнітно-резонансну томографію головного мозку при менструації. Вплив МРТ на жіночий репродуктивний цикл. Протипоказання до МРТ під час менструального циклу
Читати статтю