- Йога начинающим видео
- Хулахуп танец видео
- Смотреть моя тренировка видео
- Видео тренировки александра емельяненко
- Как правильно крутить обруч на бедрах видео
- Тренировки в кудо видео
- Тренировки рой джонса видео
- Йога онлайн смотреть видео
- Тренировки костя дзю видео
- Видео тренировки роя джонса
- Видео спинальной
- Айенгар йога видео
- Йога для женщин на видео
- Правильно крутить обруч видео
- Плиометрические отжимания видео
- Новости
Управление Здравоохранения Евпаторийского городского совета (С)2011
67 гостей
Фракційний фототермоліз як методика лазерного омолодження шкіри
- Концепція фракційного фототермоліза Швидкий розвиток естетичної медицини супроводжується створенням...
- Неаблятівние лазери, що працюють за принципом фракційного фототермоліза
- Принцип дії фракційного лазера Sellas (Dinona inc., Південна Корея)
- Матеріально-технічне забезпечення
- Мал. 2. Тканинні процеси і стадії ремоделювання (Джастін Мунхен З, MD, медичний директор компанії...
- 1 день після процедури
- 3 дні після процедури
- 7 днів після процедури
- Основні характеристики фракційного лазера Sellas (Dinona inc., Південна Корея)
- Показання та протипоказання до проведення процедури фракційний фототермоліз
- Протипоказання
- Ускладнення після процедури фракційного фототермоліза
- Клінічна оцінка ефективності фракційного фототермоліза з використанням апарату Sellas
- Клінічні приклади використання методу фракційного фототермоліза
- висновок
Концепція фракційного фототермоліза
Швидкий розвиток естетичної медицини супроводжується створенням нових технологій, ключовими критеріями для яких є: безпека, малоінвазивні, швидкий і комфортний реабілітаційний період, тривалість збереження отриманого ефекту, а також можливість складання індивідуального протоколу терапії і продуктивного поєднання з іншими косметологічними процедурами. Технологія фракційного фототермоліза відповідає перерахованим вище вимогам.
Перші фракційні лазери з'явилися в США в 2003 році. Вони генерували лазерне випромінювання з довжиною хвилі 1500 нм, що в поєднанні з фракційним принципом, тобто точковою дією Мікропромінь на біологічну тканину, стало принципово новим підходом. Протягом наступних років перший апарат, що працює за такою технологією, отримав схвалення FDA для терапії різних станів шкіри, таких як, корекція зморшок, лікування порушень пігментації, а також рубцевих утворень.
Аблятівние лазери, що працюють за принципом фракційного фототермоліза
Концепція фракційного фототермоліза була реалізована і на базі традиційних аблятівних лазерів. Зокрема, під фракційний лазер був модифікований традиційний СО2-лазер. В такому лазері вапоризация тканини відбувається не по всій площі поверхні насадки, а послідовно, тобто вузький лазерний промінь випаровує тканину «точка за точкою», видаляючи верхні шари шкіри (зокрема, шар епідермісу). Сучасні лазерні системи, що використовують випромінювання з довжиною хвилі 10 600 нм (СО2-лазер), дозволяють добиватися значної глибини впливу, формуючи локалізовані зони абляції, що, однак, пов'язано з наявністю відкритої поверхні рани і більш високим в порівнянні з неаблятівнимі лазерами ризиком виникнення небажаних еффектов1.
Ербіевие лазери з довжиною хвилі 2940 нм (Er: YAG). Випромінювання таких лазерів в десятки разів краще поглинається водою, ніж у СО2-лазера. При цьому в зоні абляції відбувається настільки швидке випаровування тканин, що тепло практично не встигає поширюватися за її межі. Тому абляцию ербіевим лазером зазвичай називають «холодної» 1. Як правило, глибина впливу подібних лазерів відносно мала і не перевищує 300 мікрон.
Неаблятівние лазери, що працюють за принципом фракційного фототермоліза
Оптоволоконний ербієвий лазер Er: Glass, що генерує випромінювання з довжиною хвилі 1550 нм. При роботі на цьому лазері не відбувається поверхневого випаровування шкіри (абляції), так як при взаємодії Мікропромінь з біологічною тканиною зона термального ушкодження локалізується нижче рогового шару епідермісу. Це пояснюється здатністю даного лазерного випромінювання глибоко проникати в дерму, не викликаючи надмірного нагріву епідермальних шарів.
Таким чином, Er: Glass-лазер менш травматичний для шкіри, ніж СО2-лазер. Реабілітаційний період після процедури проходить швидше і комфортніше для пацієнта. У порівнянні з Er: YAG-лазером оптоволоконний ербієвий лазер володіє значно більшою глибиною впливу, а отже і більш високою ремоделирующих здатністю.
Принцип дії фракційного лазера Sellas (Dinona inc., Південна Корея)
Основним хромофором для лазерного випромінювання з довжиною хвилі 1550 нм, що генерується лазерною системою Sellas, є що міститься в шкірі вода, тому нагрів, а отже і коагуляція тканини, відбувається в нижніх шарах епідермісу і в дермі. При впливі лазером Sellas верхні шари епідермісу, що містять мінімальну кількість води, практично не пошкоджуються. У процесі впливу лазерний промінь створює в шкірі мікротермальние зони (МTЗ) - зони фотокоагуляции в формі стовпчиків, перпендикулярних поверхні шкіри, шириною до 220 мкм, глибиною до 1500 мкм, оточені областю фотобіомодуляціі, яка володіє підвищеним потенціалом відновлення (рис.1) 2, 3.
Клітини цієї зони починають синтезувати білки теплового шоку (шаперони - HSP70, HSP47, HSP90), які володіють різним дією на навколишню тканину. Клітини, які не здатні до активного функціонування, піддаються внутрішньоклітинного протеолізу і апоптозу, а інші (в тому числі і клітини базального шару) починають активно ділитися, пролиферировать, беручи участь в процесі репарації вогнищ мікропошкодження.
Зони фотокоагуляции вирішуються асептическим запаленням, в процесі якого частина некротичних уламків фагоцитируется мігруючими в цю зону макрофагами, а що залишилися виходять на поверхню шкіри. Протягом 24-48 годин після впливу базальний шар епідермісу повністю відновлюється. Евакуйовані некротичні уламки отшелушиваются протягом 4-14 днів (Рис. 2). Вважається, що швидкість відновлення базального шару залежить від діаметра первинного мікроповрежденія4-6.
Видимий проліферативна стадія запалення характеризується синтезом нових структурних елементів епідермісу і дерми, а також реогранізація навколишнього тканинного пространства5.

Рис.1. Схематичне зображення зон фотокоагуляции (МТЗ) і фотобіомодуляціі після впливу лазерного променя на гістологічному зрізі шкіри людини (Джастін Мунхен З, MD, медичний директор компанії Dinona inc., Південна Корея) Забарвлення - ГЕ, х100
Матеріально-технічне забезпечення
Дана медична технологія реалізується за допомогою створення мікротермальние зон в шкірному покриві із заданою щільністю і глибиною за допомогою фракційного лазера Sellas.
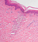
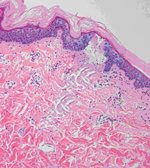
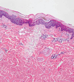
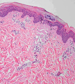
Мал. 2. Тканинні процеси і стадії ремоделювання (Джастін Мунхен З, MD, медичний директор компанії Dinona inc., Південна Корея). Забарвлення - ГЕ, х100
1 годину після процедури

Мікротермальние зона (зона фотокоагуляции).
1 день після процедури

Регенерація епідермісу.
3 дні після процедури

Епідерміс відновлений.
7 днів після процедури

Вихід елементів, які зазнали фотокоагуляции, на поверхню шкіри, ремоделирование дерми.
Основні характеристики фракційного лазера Sellas (Dinona inc., Південна Корея)
Лазерний джерело: оптоволоконний ербієвий лазер, довжина хвилі 1550нм. Щільність створення мікротермальние зон становить від 100 до 3025 МТЗ на 1.кв.см. за один прохід.
Максимальна оптична енергія одного Мікропромінь - 30 мДж, що, забезпечує необхідну для терапії глибину впливу і, при адекватному виборі щільності енергії, своєчасну термічну релаксацію які зазнали впливу тканин.
У лазері Sellas використовується система «вибіркового розподілу променів» - псевдохаотічний процес формування МТЗ з підсумковим рівномірним нанесенням заданого кількості МТЗ на область обробки. Дане технічне рішення знижує тепловий вплив на прилеглі тканини, робить процедуру більш комфортною для пацієнта і зменшує ризик небажаних явленій2.

Показання та протипоказання до проведення процедури фракційний фототермоліз
показання
Проведення процедур фракційного фототермоліза за допомогою лазера Sellas рекомендовано в наступних випадках:
- вікові зміни шкіри (зморшки різної локалізації і глибини, зниження в'язко-еластичних властивостей дерми;
- розширені пори, структурні зміни епідермісу і дерми, пігментація), в тому числі шкірного покриву делікатних зон (повіки, шия, декольте, тильна поверхня кисті);
- пігментні порушення (мелазма, сонячне і старече лентиго);
- рубці (атрофічні і гіпотрофіческіе, включаючи стрії, рубці постакне і постопераційні рубці).
Протипоказання
Абсолютні протипоказання:
- лікування оральними ретиноїдами;
- схильність до утворення келоїдів або гіпертрофічних рубців в анамнезі;
- вагітність, період лактації;
- епілепсія;
- активна бактеріальна, вірусна або грибкова інфекція;
- ослаблений імунітет;
- онкологічне захворювання;
- псоріаз, вітіліго, атопічний дерматит в стадії загострення.
Відносні протипоказання:
- запальні процеси в місці передбачуваної процедури;
- алергія на місцеві анестетики (наприклад, крем ЕМЛА 5%);
- захворювання нирок (знижена регенерація шкіри);
- множинні новоутворення шкіри в зоні передбачуваного впливу;
- процедури омолодження шкіри на рівні ретикулярної дерми за останні 2-3 місяці, на рівні епідермісу - за 7-10 днів до процедури;
- аутоімунні захворювання сполучної тканини;
- вірусні інфекції, що ведуть до зниження імунітету (ВІЛ, гепатит В або С);
- нерозуміння важливості або небажання дотримання постпроцедурного ухода5,7,8.
Догляд за шкірою після процедури фракційного фототермоліза
Після процедури проводять охолодження вогнища з метою зменшення еритеми і відчуття печіння, наносять зволожуючий крем, видають пацієнтові спеціально розроблену «Пам'ятку» по догляду за шкірою після процедури фракційного фототермоліза в домашніх умовах.
У перші дні не рекомендується спати на животі, носити компресійну білизну (в разі проведення процедури на тілі). Зволоження шкіри за допомогою крему необхідно проводити не менше 2-3 разів на день. Під час курсу терапії і протягом 2-х місяців після необхідно уникати прямого впливу сонячних променів, використовувати сонцезахисні засоби з SPF не менше 30. При тривалому перебуванні на сонці слід наносити фотозахисні засоби кожні 2 часа6. Чи не використовувати скраби, пілінги і інші отшелушивающие кошти під час лікування, а також засоби, що містять гліколеву, саліцилову кислоти або ретинол (припинивши їх застосування за 2-3 тижні до процедури і утримуючись від їх використання протягом 2-х тижнів після процедури). Пацієнту рекомендується обмежити куріння на весь період лікування (речовини тютюнового диму знижують репаративную здатність шкіри і ефективність процедури) 3.
Ускладнення після процедури фракційного фототермоліза
Ускладнення після процедури фракційного термолізу на лазері Sellas розвиваються вкрай рідко і зазвичай пов'язані з недотриманням лікарем параметрів терапії шкіри або пацієнтом правил постпроцедурного догляду. Їх слід відрізняти від очікуваної реакції шкіри на вплив фракційним лазером Sellas. При правильному проведенні процедури ризики виникнення небажаних ефектів мінімальні.
- Легка гіперемія після процедури є нормальною реакцією, яка зазвичай проходить протягом 1-3 днів.
- Відчуття печіння також є наслідком процедури і може зберігатися протягом 2-3 годин після лікування, проходить самостійно. Для зменшення зазначеного ефекту рекомендується охолодження шкіри за допомогою гелевих масок, холодного компресу або хладопакетов. Іноді може стійко триматися протягом декількох днів.
- Набряк шкіри і підлягає клітковини є нормальною реакцій шкіри на вплив фракційним лазером Sellas, розвивається відразу після процедури і приблизно через добу досягає свого максимуму, особливо в периорбитальной області. Набряк спадає самостійно на 2-3 день і не вимагає додаткової терапії.
- Бронзово-засмаглий відтінок шкіри, що з'являється в разі ретельної обробки вогнища, зберігається протягом 7-14 днів, проходить самостійно.
- Сухість і лущення шкіри відзначаються протягом 5-7 днів після лікування, усуваються за допомогою зволожуючого крему.
- Опік можливий при перевищенні рекомендованих параметрів терапії (частоти МТЗ, енергії). В цьому випадку слід використовувати епітелізуючі і протизапальні засоби, не допускати інфікування вогнища і здійснювати профілактику пігментації за допомогою відбілюючого (депігментуючих) і сонцезахисного кремів.
- Гіперпігментація як ускладнення можлива при недотриманні рекомендацій по використанню фотозахисних засобів.
Клінічна оцінка ефективності фракційного фототермоліза з використанням апарату Sellas
Метод фракційного термолізу використовується в світовій медичній практиці протягом 6 років, на апараті Sellas - 4 роки, з них на території Росії (в Хабаровську, Ростові-на-Дону, Москві, Пермі і Челябінську) - 2 роки. За цей час курс процедур проведено більш ніж 600 пацієнтам у віці від 16 до 72 років.
Клінічна ефективність методу оцінювалася в Медичному центрі косметологічної корекції «Сяяння» (під керівництвом О.С. Панової.) І в Клініці превентивної медицини «Валлекс Мед» (під керівництвом Є.І. Губанової). У клініці «Сяяння» в дослідженні брало участь 30 пацієнтів (2 чоловіків, 28 жінок) у віці від 35 до 57 років.
До групи були включені пацієнти з наступною патологією:
- фото- і хроностаріння шкіри обличчя, шиї, декольте і кистей;
- порушення пігментації (мелазма, сонячне і старече лентиго);
- атрофічні рубці різного генезу (в тому числі, постакне і розтяжки).
Для оцінки результатів терапії застосовувалися як суб'єктивна оцінка, так і інструментальні методи дослідження в період до лікування, після 3 процедур і через 4 місяці після проведеної терапії.
Суб'єктивна оцінка результату терапії пацієнтами проводилася по трехбальной шкалою (відмінно, добре і задовільно) після 4х процедур з інтервалом 3-4 тижні (рис. 3).
При проведенні процедури омолодження шкіри обличчя всі виміри проводилися на латеральної частини верхньої губи. Досліджувані показники зазнали такі зміни:
- загальний тон шкіри покращився на 8.49%,
- еластичність шкіри збільшилася на 11.63%,
- рельєфність зменшилася на 4.7%,
- вологість шкіри зросла на 8.37%.

Мал. 3. Суб'єктивна оцінка пацієнтами стану шкіри після 4-х процедур, проведених на фракційному лазері Sellas:
71% - відмінно
26% - добре
3% - задовільно
Слід зазначити, що в залежності від патології зазначені параметри можуть змінюватися більш виражено. Так, при роботі з атрофічними рубцями (постакне, розтяжки, рубці після хірургічних операцій) показник рельєфності зменшується на 10.7% у зв'язку з тим, що відбувається ремоделированием шкірного покриву, а при терапії пігментації показник тону шкіри знижується на 11.5% 2.
Клінічні приклади використання методу фракційного фототермоліза


Мал. 4. Жінка, 72 роки. До і після 4 процедур терапії вікових змін шкіри обличчя. Фотографії без ретуші, надані МЦКК «Сяяння».


Мал. 5. Жінка, 47 років. До і після 3 процедур терапії вікових змін шкіри обличчя. Фотографії без ретуші. Матеріал з фотоархіву компанії «Валлекс М».


Мал. 6. Жінка, 49 років. До і після 2 процедур терапії вікових змін шкіри обличчя. Фотографії без ретуші. Матеріал з фотоархіву компанії «Валлекс М».


Мал. 7. Жінка, 65 років. До і після 2 процедур терапії вікових змін в періоральної області. Фотографії без ретуші, надані ТОВ «Валлекс М»


Мал. 8. Жінка, 35 років До і після 5 процедур терапії стрий. Фотографії без ретуші, надані МЦКК «Сяяння»
висновок
Використання методу фракційного фототермоліза для корекції естетичних недоліків і вікових змін шкіри за допомогою лазерного апарату «Sellas» (довжина хвилі 1550 нм), дозволяє зменшити розмір розширених пор, вираженість різних атрофічних рубців (постакне, стрий, постопераційних рубців), прояви гіперпігментації (при мелазма , сонячному і старечому лентиго), здійснити ліфтинг шкіри (в тому числі верхнього і нижнього століття), а також поліпшити її тургор і вирівняти колір.
Таким чином, даний медичний метод дозволяє отримати виражений позитивний результат при мінімальній ймовірності появи несуттєвих тимчасових ускладнень.
Метод може бути використаний в установах, що мають ліцензію на відповідний вид діяльності. Процедура повинна проводитися лікарями-хірургами і дерматовенерологами,
пройшли спеціалізоване навчання по роботі з лазерними системами.
Клініка превентивної медицини «Валлекс М» , Москва.
Фото до і після процедур фракційного термолізу можна запросити у авторів статті.