- Йога начинающим видео
- Хулахуп танец видео
- Смотреть моя тренировка видео
- Видео тренировки александра емельяненко
- Как правильно крутить обруч на бедрах видео
- Тренировки в кудо видео
- Тренировки рой джонса видео
- Йога онлайн смотреть видео
- Тренировки костя дзю видео
- Видео тренировки роя джонса
- Видео спинальной
- Айенгар йога видео
- Йога для женщин на видео
- Правильно крутить обруч видео
- Плиометрические отжимания видео
- Новости
Управление Здравоохранения Евпаторийского городского совета (С)2011
67 гостей
Рефлекторні (стімулзавісімих) епілепсії у дітей

Дитячий невролог
26 років медичного стажу
Кандидат медичних наук, доцент
Євтушенко С.К., Омельяненко А.А.
Серед дітей з епілепсією має місце категорія хворих, напади у яких чітко пов'язані з впливом певних стимулів. У літературі можна зустріти велику кількість різних термінів, які визначають такі напади - рефлекторні, рефлекторно обумовлені, стімулзавісімих, стімуліндуцірованние, тригерні. Епілепсії з такого роду нападами відомі як епілепсії "читання", "їжі", "рахунки", "листи", "шахів", "переляку", "тертя", "гарячої води", "ходьби", "ноогенного", " музикогенная "," телевізійна "та інші [1, 3, 4].
До рефлекторним епілепсії відносяться такі форми захворювання, при яких напади та епілептичні розряди викликаються певними стимулами. У міжнародній класифікації епілепсії такі форми епілепсії визначаються як "... епілепсії, які характеризуються особливими способами провокації нападів ...". Стімулзавісімих напади можуть зустрічатися ізольовано і в поєднанні зі спонтанними нападами.
Точна поширеність рефлекторних нападів невідома в зв'язку з відсутністю обліку. Очікувана поширеність таких нападів серед хворих на епілепсію становить близько 2% з значними варіаціями в залежності від виду ефективного стимулу і форми епілепсії.
Серед варіантів стімулзавісімих найбільш поширеною формою є фотосенсітівная, яка виявляється при ритмічної переривчастої фотостимуляції. Фотосенсітівная зустрічається при ідіопатичних генералізованих епілепсія, ідіопатичною епілепсії потиличної частки, рідше при симптоматичних парціальних епілепсія або прогресуючих миоклонус-епілепсія. Фотосенсітівная є генетично зумовленим феноменом, проте відповідальний ген ще не виявлено [3, 5].
Найчастіше фотосенсітівная супроводжує ювенильную миоклоническую і дитячу абсансная епілепсії. За нашими даними найбільш ймовірно виявлення фотосенсітівності у хворих з ювенільної міоклонічні епілепсію - 34% в нашій групі пацієнтів. Частина фотосенсітівная хворих мають напади, виключно внаслідок фотостимуляції, без спонтанних атак. Такі випадки формують так звану "чисту" фотосенсітівная епілепсію. Вона є варіантом ідіопатичною генералізованою епілепсії юнацького віку і, можливо, нозологически самостійним епілептичним синдромом. Страждають переважно особи жіночої статі. Найчастіший вид нападів у таких хворих - общесудорожние (86%). Рідше зустрічаються абсанси (6%) і миоклонии (1,5%). Фонова біоелектрична активність може бути нормальною. Генералізовані пік-хвильові розряди можуть виникати при закриванні очей і майже завжди - при ритмічної фотостимуляції.
Основний тригер для нападів - перегляд телевізійних передач. Телевізійні екрани і монітори продукують мерехтіння в діапазоні 50-60 Гц, що може служити ефективним стимулом. Певне значення має і зміст зображення на екрані. Чим більше екран і чим менше відстань до нього, тим більший епілептогенний ефект слід очікувати.
Ритмічна фотостимуляція може провокувати напади і у хворих з епілепсією потиличної частки. Напади найчастіше представлені зоровими феноменами з подальшою девіацій очей і голови. Нерідко напади представлені пульсуючими головними болями, нудотою і блювотою в момент нападу або після нього, що вимагає диференціальної діагностики з мігренню. Можуть мати місце спонтанні напади. Фонова біоелектрична активність мозку в межах норми. При закриванні очей в потиличних відведеннях з'являються одно- або двосторонні, синхронні або асинхронні піки, комплекси пік-хвиля. Фотоконвульсівний відповідь зазвичай виникає в діапазоні стимуляції від 6 до 40 Гц.
При потиличних епілепсія можна спостерігати і інший варіант залежно від візуальних стимулів - скотосенсітівние напади або чутливість до відсутності зорової фіксації.
Напади і епілептичні розряди на ЕЕГ викликаються припиненням зорової фіксації - наприклад, закривання очей, вимикання світла або усунення можливості фокусування сильними лінзами. Виявлення скотосенсітівності вимагає ретельності у виконанні процедури оскільки будь-яка можливість фіксації може виключити цей феномен. Епілептичні розряди і / або ритмічна дельта-активність в потиличних відділах виникають після закривання очей і зазвичай вони дуже рясні. Фотоконвульсівний відповідь при ритмічної фотостимуляції для таких хворих не характерний.
Епілептичні розряди можуть виникати при розгляданні якихось геометричних паттернів або візерунків, найчастіше - смуг. Мерехтливі або рухаються патерни демонструють більший епілептогенний ефект. Провокація клінічно явних нападів паттернами зустрічається рідко. Іктальние прояви у таких хворих представлені характерними для ідіопатичної генералізованої епілепсії нападами - генералізованими судорожними, абсансами і миоклониями.
При епілепсії "мислення" або "ноогенного епілепсії" напади провокуються стимулами, пов'язаними з вищими невербальними кірковими функціями - малювання, калькуляція, гра в карти або шахи, прийняття рішень, просторові завдання. У більшої частини хворих напади провокуються завданнями різного роду. У багатьох пацієнтів спостерігаються спонтанні напади. Переважна більшість випадків відносяться до идиопатическим генералізованою епілепсією та демонструють відповідні напади і зміни ЕЕГ. Дуже рідко зустрічаються парціальні напади і осередкові аномалії на ЕЕГ, переважно тім'яно-скроневої або лобової локалізації [1, 4].
Праксис-індуковані напади визначаються як атаки, які виникають внаслідок рішення складних просторових завдань, пов'язаних з використанням частин тіла. Найбільш поширеними тригерами служать лист або інші дії з використанням рук. Напади представлені миоклониями з можливою наступною генералізацією. Цей вид стімулзавісімих найбільш характерний для ювенільної міоклонічні епілепсії. Виключно рідко праксис-індуковані напади є наслідком морфологічних ушкоджень моторної кори.
Виникнення нападів внаслідок соматосенсорних стимулів має місце при так званих епілепсія "тертя", "дотику", "гарячої води", "чистки зубів". Напади провокуються дотиком, тертям, уколом який-небудь частини тіла. Нерідко можна виявити строго окреслену триггерную зону, яка зазвичай єдина. Напади найчастіше характеризуються сенсорним джексоновская маршем з подальшим тонічним напругою і можливою генералізацією. Ініціальні парестезії виникають в безпосередній близькості від критичної зони. Після закінчення нападу у частини хворих має місце рефрактерний період, під час якого повторні стимули не викликають нападів. Цей варіант стімулзавісімих зазвичай супроводжує построландіческіе коркові пошкодження. Інтеріктальном зміни ЕЕГ при цьому варіанті стімулсенсітівності варіабельні. Іктальние записи, як правило, демонструють тільки пригнічення активності, і нерідко інтерпретуються як нормальні.
Ми спостерігали підлітка з кавернозной ангіомою лівої тім'яної частки, у якого мали місце рідкісні напади, викликані виключно роздратуванням долоннійповерхні великого пальця правої руки. Напади характеризувалися сенсорним джексоновская маршем з подальшим виникненням клонічних судом в правій кисті без втрати свідомості тривалістю до 2 хвилин. Іктальная і інтеріктальном ЕЕГ були в межах норми.
Для нападів, індукованих рухом або ходьбою в даний час використовується термін "проприоцептивного-індуковані". Напади провокуються активними або пасивними рухами без виникнення стартл-рефлексу. Іктальние феномени можуть бути представлені короткими тонічними судомами або простими парціальними нападами, нерідко з сенсорним джексоновская маршем на початку. Рідше мають місце падіння, зазвичай при ходьбі. Проприоцептивного-індуковані напади найчастіше зустрічаються в складі симптоматичних епілепсій з ураженням сенсомоторної і додаткової рухової кори. Гострі церебральні ураження або дифузні енцефалопатії також можуть супроводжуватися минущими проприоцептивного-індукованими нападами. Проприоцептивного-індуковані напади можуть входити і в структуру первинно-генералізованих епілепсій. Ми спостерігали 15-річного пацієнта з 5-річним анамнезом практично щоденних генералізованих міоклоній, іноді з падіннями, які чітко провоцировались ходьбою і позами, які вимагають утримання рівноваги. Найбільш сильним провокатором, який майже в 100% випадків викликав миоклонии, був спуск по сходах. Електрографічні на тлі нормальної активності виявлялися розряди генералізованих комплексів полипик-хвиля. У цього ж дитини мав місце і фотоконвульсівний відповідь. Проприоцептивного-індуковані напади необхідно диференціювати зі стартл-епілепсію. Ці два синдрому об'єднує наявність церебральних ушкоджень, але характер стимулів і клінічна картина нападів мало відрізняються. Проприоцептивного-індуковані напади починаються не так раптово, як при стартл-епілепсії та можуть починатися з сенсорного джексоновского маршу.
Стартл-епілепсія характеризується провокацією нападів раптовими стимулами - звуком, дотиком. Клінічна картина нападів представлена загальним вздрагиванием, за яким негайно слід одно- або двостороннє тонічне напруження кінцівок тривалістю до 10-20 секунд. Це тонічне напруга може завершувати напад або перейти в генералізований тоніко-клонічні напад. Можуть також зустрічатися і спонтанні епілептичні напади. У більшості пацієнтів має місце зазвичай очевидне пошкодження нервової системи - церебральний параліч, наслідки нейроінфекцій, черепно-мозкові травми і ін. Дані ЕЕГ варіюють в залежності від церебрального пошкодження, найчастіше патологія переважає в лобових або тім'яних відділах. Ця форма сенситивности вимагає особливої уваги, так як зустрічається досить часто і стартл-феномен може входити в структуру неепілептичних пароксизмів [1, 2, 4].
При "епілепсії їжі" напади провокуються прийомом їжі, рідше видом або запахом їжі або виникають відразу після їжі. Напади зазвичай представлені осередкової рухової симптоматикою із залученням орофаріногеальной і жувальної мускулатури, з аурою чи без неї, з автоматизмами або без них, рідше інші варіанти - пропульсіі, псевдоабсанси, атонічні напади. У структуру синдрому можуть входити і спонтанні напади.
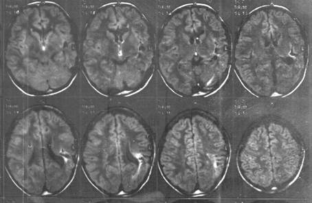
Найчастіше "епілепсія їжі" є симптоматичною парціальної на епілепсію з ураженням скроневих лимбических структур і / або супрасільвіевих відділів кори (рис. 1). З 4 наших пацієнтів з епілепсією їжі в 2 випадках етіологічним фактором служив герпетичний енцефаліт, в 1 випадку - важке перинатальне гипоксическое ураження ЦНС і в 1 випадку природа пошкодження мозку залишилася нез'ясованою. На ЕЕГ реєструються скроневі епілептичні феномени з варіабельності поширенням і морфологією (рис. 2). У двох наших випадках інтеріктальном ЕЕГ не містила епілептичних феноменів.
При "музикогенной" епілепсії напади провокуються музикою або певними немузичними звуками - наприклад, дзижчанням, свистом, скрипом. Ефективний вид звуку дуже індивідуальний. Клінічно ця форма представлена простими або складними парціальними нападами з різноманітною симптоматикою, рідше генералізованими судорожними нападами. У більшості випадків мають місце також і спонтанні напади. Більшість таких випадків розглядаються як криптогенная парциальная епілепсія. На ЕЕГ під час нападу і в періоді між реєструються епілептичні феномени скроневої локалізації, частіше над правим півкулею.
Таким чином, стімулзавісімих напади - це неспецифічний феномен, який може супроводжувати идиопатические і симптоматичні епілепсії, а також може формувати нозологически самостійні епілептичні синдроми. Терапія таких нападів грунтується в першу чергу на антіконвульсантной терапії, яка проводиться за загальними правилами відповідно до діагностованим епілептичним синдромом. Своєчасне і коректне виявлення специфічного провокуючого стимулу може служити поведінкової профілактиці нападів. Найбільш поширена форма стімулзавісімих фотосенсітівная може бути істотно скоригувати наступними заходами:
- Перегляд телевізора на відстані не ближче 3 метрів або на відстані в 4 рази більшому, ніж діагональ екрану;
- Краща частота регенерації зображення 100 Гц і LCD-монітори;
- Завжди в освітленому приміщенні, без різких контрастів;
- Перегляд одним оком (!!!);
- Теж саме справедливо по відношенню до моніторів комп'ютерів;
- Протипоказані кінотеатри і розваги зі стробоскопами.
При провокуванні нападів соматосенсорную стимулами і виявленні критичної зони можливо попередження нападів зовнішнім захистом цієї ділянки тіла.
Їжа, які викликає напади при епілепсії "їжі" може бути унікальною для кожного окремого хворого. У зв'язку з цим, точне з'ясування "відповідальних" видів їжі і відповідну зміну раціону і патерну годування може служити профілактичним заходом в низці випадків.
Безумовно, повне усунення дії провокуючих чинників в більшості випадків неможливо і тому адекватна антіконвульсантной терапія обов'язкова і грає ключову роль.
Список рекомендованої літератури:
- Євтушенко С.К., Омельяненко А.А. Клінічна електроенцефалографія у дітей // Донецьк. - 2005. - 880 с.
- Омельяненко А.А., Євтушенко С.К., Євтушенко О.С. Епілептичний і неепілептіческій стартл-феномен і його диференційна діагно-стика - п'ятирічний досвід спостереження. // Український вісник психоневрології. - 2001. - том 9, вип. 3 (28). - С. 41-43
- Rudolf G., Valenti M., Hirsch E. Genetic reflex epilepsies // In: Orfanet Encyclopedia. - 2004. - http://www.orpha.net/data/patho/GB/uk-GeneticReflexEpilepsies.pdf
- Zifkin B., Andermann F., Beaumanoir A., Rowan A. Reflex Epilepsies and Reflex Seizures // Advances in Neurology. - 1998.- v. 75. - 280 p.
- Zifkin B., Kasteleijn-Nolst Trenité D. Reflex epilepsy and reflex seizures of the visual system: a clinical review // Epileptic Disord. - 2000. - v.2. - p. 129-136.
ілюстрації
Мал. 1. МР-томографія головного мозку при епілепсії "їжі" - кіста і склерозування внутрішніх структур лівих скроневої і тім'яної часткою.
Мал. 2. Іктальная запис псевдоабсанса при епілепсії "їжі" - ритмічні комплекси пік-хвиля 2 Гц над лівою півкулею з максимумом в среднемп скроневій відведенні з синхронними піками над правої скроневої часткою.